比龅牙更揪心的是—深覆合?
比龅牙更揪心的是—深覆合?
世间上的美千篇一律,但丑却可以有万种姿态,比如牙丑。

图片来源网络
一口龅牙的人往往给人的第一印象就是,“嗯,你是个龅牙…”,但有一种牙齿形态埋藏的很深,如果加上自己比较注意,往往第一印象不会给人留下太明显的痕迹,这就是深覆合。

图片来源网络
有人说,龅牙很丑,但又有一些人觉得,深覆合更让人难以接受,难道深覆合真的这么让人揪心吗?
啥是深覆合?

图片来源网络
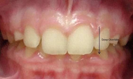
深覆合是一种上下颌牙弓,或上下颌骨垂直向发育异常所导致的错颌畸形。也就是在我们咬牙时,下牙被上牙全部盖住,或只露出很少一部分,就可以判断为深覆合。

图片来源网络
娱乐圈中刘亦菲就是一个典型的例子,不笑的时候美的脱俗,一旦笑起来上牙几乎完全盖住下牙,并暴露过多的牙龈,这就是深覆合典型的例子。
深覆合的危害有哪些?
降低颜值

图片来源网络
深覆合的人往往下巴后缩,咬肌肥大,下颌角比较方(对,就是方下巴),往往这样的人无法拥有精致的V脸(方下巴、国字脸较多),如果不是刘亦菲那样的高颜值,恐怕还真的撑不起整张脸。
损伤牙齿

图片来源网络
除了影响颜值,深覆合由于上牙盖住下牙,在咀嚼食物的时候,前面两颗牙互相磨损,就容易导致牙釉质损伤,时间一久,牙齿容易出现敏感症状。严重的深覆合甚至会引起牙周损伤,进而造成牙周炎、牙齿松动等问题。
引发颌关节疾病

图片来源网络
深覆合还可能引起颞下颌关节疾病,主要出现张口受限、关节弹响、疼痛等症状。

图片来源网络
引起深覆合的原因最常见的是遗传或先天性因素,所以,不论是从牙齿排列、咬合还是脸型来讲,通过正畸打开咬合是很有必要的。
【本文来源子和口腔官方公众号:cdzhkq】
-
- iPhone XR跟iPhone X到底哪个好,哪个性价比又更高?
-
2023-12-22 23:56:35
-
- iOS 12 ~ 12.1.2 越狱工具unc0ver 需要电脑安装,带Cydia版
-
2023-12-22 23:54:29
-
- 520极客告白指南
-
2023-12-22 23:52:23
-
- vivo Z5X和Realme X选谁不亏?“三优三劣”看明白了再入手!
-
2023-12-22 23:50:18
-
- QQ音乐怎么查看好友歌单 哪里看关注人喜欢听收藏歌曲方法
-
2023-12-22 23:48:12
-
- 冬月是哪个月(今天冬月初一,顺应时节,建议:吃“3菜2果,忌2样”,平安过
-
2023-12-22 23:20:21
-
- 苹果手机防盗怎么设置(全方位iPhone防盗设置,让小偷哭晕厕所)
-
2023-12-22 23:18:16
-
- 油烟机十大公认品牌排行榜2021年(年度十大创新吸油烟机品牌榜占据中国市场半
-
2023-12-22 23:16:11
-
- 负荆请罪的主人公是谁叫什么(战国名将·廉颇,负荆请罪的主人公,是一代名将还
-
2023-12-22 23:14:06
-
- 人体体温多少正常 不退烧系列:人体正常体温37℃?150年前的歪打正着而已
-
2023-12-22 23:12:01
-
- 白发悲秋的主人公是谁?你知道吗?
-
2023-12-22 23:09:56
-
- 电动机的工作原理
-
2023-12-22 23:07:51
-
- 如何创建硬盘分区 ?教你步骤
-
2023-12-22 23:05:46
-
- 著名小说(十七本最好的网络小说)
-
2023-12-22 23:03:41
-
- 红茶有哪些品种前十名(红茶的“十大天王”,你都知道吗有哪些品种?喝过几个
-
2023-12-22 23:01:36
-
- 霜shuāng,字义,笔画,组词,造句
-
2023-12-22 08:33:02
-
- 你手里的兰花一角硬币价值多少?尤其这五个年份最有收藏价值
-
2023-12-22 08:30:56
-
- 墨鸦白凤新壁纸!白凤变瘦气质大变,天九接下去要大写白凤了吗
-
2023-12-22 08:28:50
-
- 老人过世前是不是都有抓床掀被的现象
-
2023-12-22 08:26:44
-
- 地球的引力势能公式及其应用
-
2023-12-22 08:24:39



云南本地人为什么不会被骗到缅甸(看看真实的缅北)
中国一线男装10大品牌(盘点国内十大知名男装品牌排行榜)