洗牙结石多少钱 每天几毛钱,黄牙秒变白牙?牙缝里脏东西全没了
洗牙结石多少钱 每天几毛钱,黄牙秒变白牙?牙缝里脏东西全没了
牙结石问题真的困扰了我很多年,我也是去年年初才通过系列方法解决了这个问题!现在我的牙齿不仅看起来十分亮白,嘴巴里面的酸臭味也都没了!和人说话交流都比之前自信一大截!!
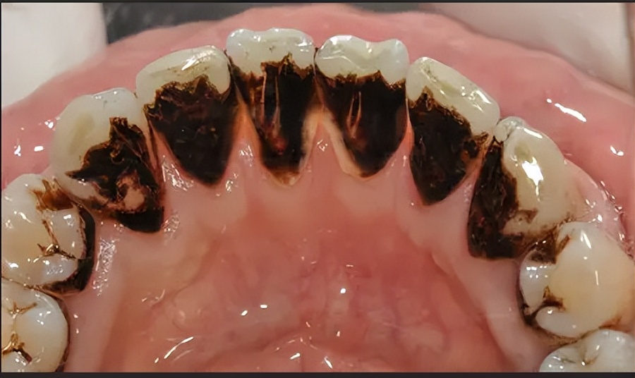
我之前就是因为饮食以及护理习惯太差,牙齿上面附着了很多牙石,牙缝里面的也都发黄发黑,时不时的最里面还散发出一股子酸臭味,弄得我当时是完全不敢和别人交流!

后来也是在专业人士的建议下菜下定决心更换牙膏和牙粉,前后试用了得有十来种,才把问题给彻底解决了!一直到现在我的牙齿都很亮白,所以我才有勇气给大家分享我祛除牙结石白牙的方法,希望可以帮助到大家!
首先就是早晚使用欧丹锦牙粉

这个牙粉也是我跟着别人一起用的,它是白色分粉末状,我每次都是直接用牙刷蘸取后使用,它起沫比较快,是柠檬味的,我个人比较喜欢,因为里面有薄荷成分,所以刷完牙后嘴巴里面也比较清爽。

我当时坚持用了将近一个月的时间,刷牙的时候就开始有大大小小的牙石开始脱落,我都是直接吐掉,大部分都已发黄发黑!随着牙石逐渐脱落,我的牙齿和之前相比至少亮白了两三个度!后期我又买了几盒囤着,和牙膏交替使用,一直到现在牙结石也没咋出现过,牙齿也很白!

其次就是使用佳洁士牙膏
我平时也会把牙膏和牙粉交替使用,使用率稍微高点的就是这个牙膏。因为我本身不太喜欢较浓的薄荷味,这个牙膏的薄荷味适中,所以我有时候会用用,我觉得它的清新口气的作用比较突出,日常清洁使用的确是够了,所以大家如果有需要可以试用。

最后就是使用牙线
我之前是完全不太注重口腔护理的,直至牙结石完全脱落后我才意识到这个问题,所以除了使用牙粉好好刷牙之外,我也会在饭后使用牙线去除食物残渣,最开始的确是有些不习惯,后来用顺手了后就好多了,在多方配合使用下,我才算是彻底告别了牙结石以及牙黄问题!

以上就是我解决牙结石问题,获得亮白牙齿的一些方法,和我情况相似的朋友都可以试试!
-
- 五香熏鱼的做法和配方,希望你会喜欢
-
2024-01-11 12:14:14
-
- 贴福字的讲究是什么(贴福字有哪些讲究,是倒贴还是正贴?原来有讲究,终于弄明
-
2024-01-11 12:12:08
-
- 什么食物防辐射最好的(预防核辐射必吃的7种神奇食物)
-
2024-01-11 12:10:02
-
- 入职了怎么停掉农村医保 如何线上办理暂停参保?
-
2024-01-11 12:07:56
-
- 如何去追自己喜欢的女孩子?正常追女生的步骤
-
2024-01-11 12:05:51
-
- 韭菜花酱怎么做?不要只会放盐,多加1个料,味道更香更浓郁,久放不坏
-
2024-01-11 12:03:45
-
- 古典摔跤动作教学(四组经典中国摔跤技法,一摔制敌,很能打的传武格斗招式)
-
2024-01-10 21:06:54
-
- 高中毕业歌曲有哪些(适合毕业的时候唱的50首歌)
-
2024-01-10 21:04:48
-
- 催乳素偏高 多次检查超过这个数值,无疑是高泌乳素血症
-
2024-01-10 21:02:42
-
- 标准羽毛球场地尺寸是多少?
-
2024-01-10 21:00:36
-
- 鲍鱼干的做法与吃法,你学会了吗?
-
2024-01-10 20:58:30
-
- 葬礼用品大全(超详细的治丧期间的23个用品)
-
2024-01-10 20:56:25
-
- 卖服装进货技巧(衣服进货这三点技巧把握好 拿货不求人)
-
2024-01-10 20:54:19
-
- 家里频繁跳闸如何解决
-
2024-01-10 20:52:13
-
- 湖北仙桃在哪个位置(湖北省一个市,名字改得很成功,建制历史超1500年!)
-
2024-01-10 20:50:07
-
- 喝酒前吃什么能防止醉酒(怎么喝酒才不容易醉?聪明人要提前吃这几种东西)
-
2024-01-10 20:48:01
-
- 二瓶啤酒要过多久才能不被测出来 二瓶啤酒要过多久才能不被测出来酒驾
-
2024-01-10 19:27:55
-
- 第十六届奥运会在哪年举行 十六届奥运会在哪年举行
-
2024-01-10 19:25:51
-
- 蛋挞用空气炸锅多少度多长时间 蛋挞空气炸锅几分钟多少度
-
2024-01-10 19:23:46
-
- 大海螺都哪里不能吃要图片 海螺那些不能吃图片
-
2024-01-10 19:21:41



云南本地人为什么不会被骗到缅甸(看看真实的缅北)
中国一线男装10大品牌(盘点国内十大知名男装品牌排行榜)