人真的能被笑死吗(笑死了不是一句玩笑)
人真的能被笑死吗(笑死了不是一句玩笑)

笑,一种愉悦的体验!但是,在大洋洲巴布亚新几内亚高原,有一个叫做霍尔(Fore)的部落。该部落有一种世界上最为奇怪而令人恐惧的疾病——笑死症。
“当年一些去当地调查的科学家,亲眼目睹了许多部落成员无缘无故“哈哈”大笑而死,尤其是妇女儿童居多。甚至在一次部落举行的婚礼上,一名翩翩起舞的少女,突然狂笑不止,随后拿起棍子将一名猝不及防的部落成员的脑袋打得稀巴烂,而她却还在一直狂笑不止,直至她的死亡来临。”

太平洋小岛上的“笑死症”
笑死症最早,见于1957年澳大利亚医生日加索姆(Zigasom)和美国研究者卡尔顿·加杜塞克(Carleton Gajdusek)的记载。
笑死症,直译于英文单词Laughing Death。此外,它还有一个名字,库鲁病(Kuru)。“库鲁(Kuru)”是当地部落的语言,代表“颤抖”和“变坏”的意思。

地图上的库鲁(Kuru)症地区
得了笑死症,病人最初只会感到头疼和关节疼。数周之后就开始出现行走困难,病人的躯干会震颤,走路时步态蹒跚,像个企鹅;病人往往会感觉无法自主站立,需要外界辅助。

一名族人抱起笑死症患儿,因为他已经无法自我行走了
此外,发病初期往往还会不自觉的发出一些古怪的声音,渐渐口齿不清。而病人的下肢和上肢则会出现不自主的颤抖,这种颤抖在完成特定任务时愈发明显。

一名族人用双手搀扶笑死症患儿,因为他无法保持自我站立
而笑死症,发展到晚期阶段,病人会丧失记忆,认不出他的家人和朋友。有时候,病人会不由自主地发出莫名其妙的笑声。

一名蹲坐在族人膝盖的得了笑死症的小女孩,她无法自我站立
不过,这种大笑也意味着,病人离死亡不远了。在当时,每年至少有200人死于笑死症。

"食_人风俗"是原因
根据调查者对部落成员的采访记录显示,这种疾病在部落里并不少见,时有发生,而当地部落一直认为这种病来自于邪恶“萨满”的诅咒。
但是,将一种疾病归结于妖魔鬼怪,显然是无法满足科学家们的胃口的。
随后,科学家在这个村庄里进行了长期的追踪调查,他们才开始发现了一些端倪。

霍尔(Fore)部落
他们发现,霍尔部落存在着食_人习俗。当然,他们不是吃_活人,他们吃_的是去世的人,而且是最亲近的族人。
霍尔人认为,当族人去世之后,为了表达对族人的敬重,以及获取去世族人的智慧和高尚品质,食_用其遗体是一种非常隆重的仪式。所以,并不是所有人都值的“享用”的,只有那些地位高尚者才能享受此殊荣。

科学家加杜塞克
当年,初到巴布亚新几内亚调查的科学家加杜塞克,并不认为笑死症与食人风俗有关系。因为某些同样有此风俗的部落似乎并没有笑死症的迹象。
但是后来,对笑死症患者的人脑组织进行细致观察,使他相信,笑死症应该是一种传染病。
刚开始,他将正常人的脑和笑死症的脑进行对比,可以明显的看到笑死症患者的脑存在这明显的体积萎缩、变性和坏死。

相对于正常脑,笑死症患者脑存在明显的体积萎缩和组织变性坏死
然后,加杜塞克将笑死症患者的部分脑组织取出,用刀切成薄片,涂上染色剂,然后用显微镜进行观察。然后他就看到了类似上图的景象。他看到患者的脑组织就好似一块“海绵”,上面存在着很多很多的小洞。而这些小洞,其实就是细胞死亡后遗留下的结果。

笑死症患者的脑组织:黑色的点是细胞死亡后遗留的小洞
一般来讲,这种情景常见于一些细菌感染引起脑炎的患者。因为细菌等可以造成脑组织出现这样广泛而弥漫的死亡。故他也推测这应该是一种传染病。

加杜塞克在工作
此外,他还把病人的脑组织给动物接种后,动物也出现了类似于笑死症病的症状。这表明,笑死症的流行确实应该归结于吃_人时把死者脑组织里的致病因子也吃进来了。
这也就能解释,为什么部落里多数病人是妇女和儿童了。
因为在部落里,青壮年在“享用”时可以吃肌肉,而妇女和孩童只能吃一些“边角料”,比如脑组织。而脑组织中,这种病原体含量最丰富,所以她们感染的几率就更高。

杜绝陋习可有效减少笑死症发生率
既然有了充足的证据推测这是一种传染病,那么切断传染源是非常必要的措施。而杜绝族人们的食_人风俗对于笑死症的预防意义重大。
但是,就像很多“移风易俗”任务的艰巨性一样。要想改变霍尔部落成员停止食_人风俗显然单凭几句话是无法做到的。

禁止同类_相食行为
因为你无法对一个原始部落成员讲所谓科学的“病理学”证据。否则他们会认为你脑子有病。
既然霍尔部落成员无法听懂“科学”语言和证据。那只能找听得懂的人。于是,科学家们找到了澳大利亚政府和联合国。
于是,到了20世纪50年代末期,在世界卫生组织和澳大利亚政府的干预下,强制禁止了这种人吃人的陋习。渐渐地,笑死症的发病率就开始下降了。

加杜塞克-笑死症-诺贝尔奖
当年,加杜塞克虽然认为笑死症是一种传染病。但是,他并不清楚具体是那种病原体在里面起主要作用。
于是,加杜赛克将笑死症和各种脑病进行了对比。然后,他发现笑死症与人类克雅氏病非常的相像。
克雅氏病,是一种非常罕见可传播的脑疾病。它主要发生在50-70岁之间人群。受感染的人可以有睡眠紊乱,人格改变,共济失调(不自主的颤抖),失语症,视觉丧失,肌肉萎缩,肌阵挛,进行性痴呆等症状。一般会在发病的一年内死亡,而且该病病死率和笑死症出奇的一致,100%!
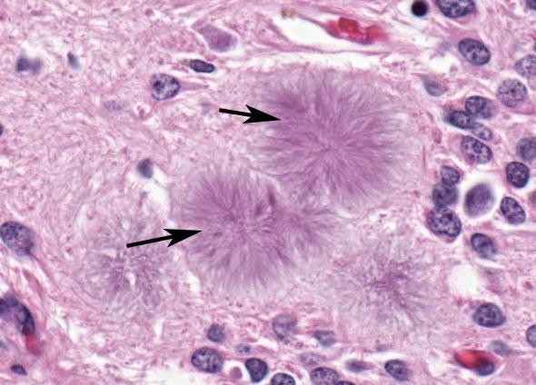
通过对比,克雅氏病人的脑和正常人的脑,也可以发现明显的脑组织的萎缩和变性坏死。比如下图,你可以看到箭头处萎缩的部分,以及克雅氏病一些不规正的脑坏死组织。

克雅氏病和正常脑对比,也存在明显的脑组织萎缩和变性坏死
于是,加杜塞克,将笑死症归类于一种类似人类克雅氏病的传染病。他因为这样一项杰出工作,而获得了1976年的诺贝尔生理学或医学奖。

加杜塞克接受1976年诺贝尔奖的现场
但是,事情到这并没有结束。

笑死症和疯牛病
“1984年至1985年,英国的农场里发现有些牛走路颤颤颠颠的、烦躁不安,总会莫名其妙地横冲直撞,而且这些牛常会在粗糙的树干和石头表面不停摩擦,以致身上的皮都被磨出血了,还会一直进行下去,丝毫没有停止的意思。接着有很多牛一开始没有这种异常行为,但是没过多久也开始这种行为了。最最可怕地是,农场的养殖人员因为接触了这种牛居然出现死亡。”
但是,80年代这件事并没有引起多少人注意。人们的餐桌上的牛肉可能就包括得了这种病的牛肉。

得了疯牛病的牛无法站立
到了1997年春天,疯牛病袭卷了英国乃至全世界。一时间,人们“谈牛色变”。人们开始相信这是一种可怕的传染病。而他们也将这种使得牛行为异常的疾病称作“疯牛病”。
其实,在疯牛病之前,早就有过一种叫做发生在羊身上的“羊瘙痒症”。它的表现如出一辙,羊的行为异常、神智不清。
羊瘙痒就是因为羊得了这种病会不断地去找粗糙的地方摩擦,以至于皮毛都掉了,导致羊身上光秃秃的。当时,人们认为这种病肯定使得羊瘙痒无比,所以称之为羊瘙痒症。
在疯牛病大爆发的时候,人们通过对牛生存的各个环节进行调查,最后发现这种病可能与“羊瘙痒症”有关。
在当时,欧洲人喜欢用羊、牛的内脏、下脚料等制成饲料,然后喂牛。科学家们相信,羊瘙痒病的致病因子就是通过这些饲料传染给牛的。而且,病牛的尸体会经过加工后进入牛的食物链,导致牛之间相互交叉感染。

欧洲人用病牛或羊瘙痒病羊的内脏等制成牛饲料,导致疯牛病蔓延
而且,人们还发现,食用了得了疯牛病的牛,也会导致人得神经系统类的疾病。病人首先会表现为焦躁不安,最终精神错乱而死亡。
后来,科学家通过发现,人类由疯牛病感染上的这种病,其实就是克雅氏病。于是,克雅氏病、笑死症和疯牛病等之间冥冥之中似乎有某种联系。

朊病毒是罪魁祸首
上世纪80年代早期,美国加州大学神经病学专家斯坦利·普鲁辛纳(Stanley B.Prusiner)根据自己多年对动物瘙痒症的研究,最终在得病宿主体内找到了“病原体”。只不过令所有人震惊的是,这种“病原体”丝毫不同于以往的感染病原体。因为它不含任何遗传物质,它只是一种蛋白质。

斯坦利·普鲁辛纳
我们知道,生命最典型的特征就是遗传物质。细菌、病毒是我们在大自然中最常见的感染源。而在所有细菌有细胞结构,它有细胞膜,细胞质以及遗传物质(比如DNA);

细胞结构中,居于核心部位的遗传物质
而病毒虽然没有细胞结构,是裸露的,但是它也有遗传物质比如RNA或DNA。故遗传物质在生命中,是随处可见的。而缺乏遗传物质进行“指导”的蛋白质并不认为是一个有生命活性的个体。

病毒的基本结构里,也有遗传物质
但是,这一次人们发现的这种“新病毒”。它也可以和其他所有病毒及生命一样,可以生长和自我繁殖。但是,它却不需要任何遗传物质,只靠蛋白质就可以指导这种生命信息。这太可怕了!

箭头指的就是朊病毒,它没有周围正常细胞含有紫色遗传物质
1982年斯坦利·普鲁辛纳等给这种“新病毒”一个特定名字:朊病毒(prion)。朊病毒是一种传染性蛋白质颗粒,不含有核酸,可自身复制。
Prion在英文中的意思就是蛋白的意思,而中文朊即蛋白的意思,所以得了这样一个名字。1996年,疯牛病使得欧洲人甚至全世界人心惶惶。
于是到了1997年,斯坦利·普鲁辛纳就因为他在1982年的杰出工作,获得了当年的诺贝尔生理学和医学奖。

“笑死症”100%一直笑到死!
人们通过后来的一系列的研究,证实了笑死症、克雅氏症以及疯牛病等都是因为感染朊病毒引起的一种神经退行性疾病。
据2005年《细胞》杂志所刊登的美国科学家的结论,利用少量的“朊病毒”分子,可以将大量的正常的蛋白质变为“朊病毒”,即少量变异的蛋白质分子可以将正常构型的蛋白质变为变异的分子。这以结果解释了为什么少量“朊病毒”能够导致机体的功能丧失。

《细胞》杂志是全球生物生命科学研究的最权威的研究期刊之一
从“朊病毒”的本质来看,它是空间构型改变的正常蛋白质,是正常蛋白质变性所致。也就是说,正常蛋白只要在朊病毒的策反下,发生空间结构的改变,就可以变成具有毒性的朊病毒。
虽然已经有相当不少关于朊病毒的研究,但是朊病毒实在是太过奇怪,人们对它的很多行为和特性都还不是很清楚。
人们对其的传播途径也不是很明了。一般认为同类相食、食用感染朊病毒的肉类等被认为是罪魁祸首。此外,器官移植、注射尸体来源的人体激素等已被证明也可引起克雅病。
目前,并没有对笑死症、克雅氏病等的治疗方法,它目前的病死率高达100%。
可能下次你看到某人“哈哈大笑”时,ta不一定很高兴,没准下一秒就要“挂了”。

,
-
- 小章子怡童瑶身高体重(小章子怡童瑶初恋张默)
-
2025-06-26 00:27:37
-
- 中美军事实力深度对比!妄自菲薄,是我们犯的最大的错误
-
2025-06-26 00:25:31
-
- 体系是什么意思(公司体系化建设文章讲解)
-
2025-06-26 00:23:24
-
- 明朝内阁首辅是几品官(明朝内阁首辅列表一览)
-
2025-06-26 00:21:18
-
- 著名演员柏寒因病去世 两段婚姻皆不幸
-
2025-06-26 00:19:12
-
- 贵州茅台镇国宴1945康家将_茅台镇国宴贵宾酒53度酱香价格
-
2025-06-26 00:17:05
-
- 老锅贡酒12多少钱一瓶_老贡贡酒18多少钱一瓶
-
2025-06-26 00:14:59
-
- 个人情感经历简短(我和丈夫的情感经历)
-
2025-06-20 15:23:12
-
- 单亲家庭孩子上初中怎么报名
-
2025-06-20 15:21:06
-
- 处男第一次有什么技巧?第一次怎么找到正确位置?
-
2025-06-20 15:18:59
-
- 帮你轻松脱单 怎么样在陌陌上撩妹
-
2025-06-20 15:16:54
-
- 中年已婚妇女梦见自己怀孕是怎么回事
-
2025-06-20 15:14:48
-
- 怎样知道对方也在想你,怎么让对方知道你想他了
-
2025-06-20 15:12:42
-
- 怎么用数字表白?表白数字暗语大全
-
2025-06-20 15:10:36
-
- 怎么抑制自己恋爱的感觉:8个可行方法
-
2025-06-20 15:08:29
-
- 怎么试探他喜不喜欢你初中生
-
2025-06-20 15:06:24
-
- 怎么让性幻想更加美妙 升级性幻想怎么做
-
2025-06-20 15:04:19
-
- 不是怎么造句子(实用50句)
-
2025-06-20 00:25:03
-
- 在一起时间久了,怎么保持新鲜感?
-
2025-06-20 00:22:56
-
- 约会不无聊 怎么跟相亲对象约会
-
2025-06-20 00:20:50



云南本地人为什么不会被骗到缅甸(看看真实的缅北)
中国一线男装10大品牌(盘点国内十大知名男装品牌排行榜)