郑州封控区域规则(郑州发布105号通告)
郑州封控区域规则(郑州发布105号通告)

1)郑州市新冠肺炎疫情防控指挥部办公室
关于调整封控管控区域的通告
(2022年105号)
根据疫情形势变化,经郑州市疫情防控指挥部研究,自5月24日零时起,对部分封控区、管控区进行调整,现通告如下:
一、以下区域由封控区降为管控区
二七区、管城区
连云路以东、紫云路以西、红云路以南、长江路以北区域
十八里河街道办事处小王庄社区正商中州城芙蓉园小区
二、以下区域由临时封控区降为管控区
二七区
嵩山路街道办事处雅居社区亚星盛世雅居小区5号楼
三、以下区域由临时管控区降为防范区
二七区
嵩山路街道办事处雅居社区亚星盛世雅居小区
四、其他封控区、管控区、防范区不变
郑州市新冠肺炎疫情防控指挥部办公室
2022年5月23日

2)郑州航空港经济综合实验区疫情防控指挥部办公室
关于对部分区域实行分类管理的通告
鉴于当前周边及航空港区疫情防控形势的新变化,为有效阻断疫情传播,切实保障人民群众生命安全和身体健康,经研究,现就我区部分区域实行分类管理有关事宜通告如下:
1、将我区八千办事处沙张村划为封控区。
2、将八千办事处(南海大道以南,华夏大道以东,长葛市边界以北,尉氏县边界以西)划为管控区。
封控区内全体居民赋红码,实行“区域封闭、足不出户、服务上门”管理措施;管控区严格落实“人不出区、严禁聚集”。管理区域内原则上连续七天进行核酸检测(23日为第一天)。疫情防控、医疗救治、民生保障等行业从业人员可凭48小时核酸检测阴性证明和工作单位证明(加盖公章)进出。
本通告自5月23日24:00起执行。
郑州航空港经济综合实验区疫情防控指挥部办公室
2022年5月23日

3)近日,北京海淀友谊社区连续检出19例阳性,与多个家庭间的聚会等有关,友谊社区1800余人转运张家口集中隔离;四川广安:邻水县疫情已实现社会面清零,两周累计感染者超过千例。

4)台湾23日新增确诊66283例,新增死亡40例。台湾4月失业率3.62%,官员称疫情冲击或于5月显现。


1)国务院日前出手稳经济:留抵退税扩至1.64万亿,缓缴社保费再扩围至其他特困行业,预计今年缓缴3200亿元。

2)国家卫健委23日表示:全国疫情整体呈现稳定下降态势,北京局部地区和重点人群仍有感染传播风险,上海新增报告感染人数持续下降。

3)国家移民管理局23日表示:目前不鼓励个人出国旅游观光、访朋探友,尽量做到非必要非紧急不出境;停办护照、绿卡剪角皆为不实消息,出国留学仍然不受影响。

4)近日各地公布高考要求:考生24日起开始14天考前健康监测,考前48小时内需核酸检测;北京:高考6月7日至8日如期举行,英语四六级考试延期至9月17日举行。

5)宁波拟对公筷使用立法:餐饮服务场所两人以上同桌应使用公筷,场所未按规定配备公筷的,或处20元以上200元以下罚款。

6)22日下午,云南昆明富民县螳螂川新大桥河段一小车坠河后急流中漂浮,女子爬天窗求救仍不幸遇难,事发当天系暴雨天气,警方:操作不当坠河,无随乘人员;22日下午,沈阳一私家车意外坠河,车上4人遇难。

7)近日,微信新增“群聊消息置顶”功能,群消息可置顶群聊顶部,所有群成员都能看到,网友:工作群变得更加可怕了。

8)拜登23日声称美方愿“防卫台湾”,外交部回应:强烈不满坚决反对,白宫紧急澄清:美对台政策没有变化。

9)国务院常务会议日前决定:放宽汽车限购,阶段性减征部分乘用车购置税600亿元。支持发行3000亿元铁路建设债券。

10)近日,国家开放大学终身教育平台(le.ouchn.cn)正式上线,面向社会免费开放。
11)清华女博士报考协警?官方最新通报:张某(女,28岁,山东济南人)毕业于二本学院,经常臆想在清华大学读博士,求职时谎称学历,均以“清华大学博士毕业”填报学历学位。目前,事情正在进一步调查之中。

1)日前,河南郑州、漯河、商丘、新乡等地陆续发布信息,对疫情发生地豫籍返乡大学生免费隔离。为人性化政策点赞!

2)河南明确:住校高考生考前14天要在校封闭管理,非在校生保持学校与家庭两点一线闭环管理,并做好健康监测;所有涉考人员、相关老师、考生及同住人员等,从考前14天(5月24日)起加大核酸检测频次。

3)河南加速“场所码”推广使用,5月底前,郑州市实现“场所码”全覆盖;6月底前,其他省辖市、济源示范区实现“场所码”全覆盖。

4)河南23日召开“三夏”生产专题新闻发布会,计划投入各类农业机械400万台(套),其中联合收割机18万台、播种机80万台保障小麦机收工作。全省大规模机收将于5月28日前后展开。

5)河南出台“三夏”农用机械用车保通政策:高速免费、查验不劝返、检测不等待、核酸不重检、政策不加码。
6)河南将对因疫情无法返乡农民开展“三夏”代收、代种、代管等服务,村干部喊话在外老乡:安心务工,麦子有人帮你收,确保夏粮颗粒归仓。

7) 2017年以来,河南省公安机关共有120名民(辅)警因公牺牲,其中今年以来有6名民警因公牺牲。

8)近日,中原警方经过缜密侦查,成功打掉一专门针对老年人以“算命”为噱头,横跨江苏、北京、安徽、河南四省市的诈骗团伙,3名团伙成员悉数落网,带破案件15起,涉案金额10余万元。
9)5月22日,新乡市封丘县一孩子玩耍时被卡15厘米墙缝中。消防救援人员抵达现场后,对房子的混凝土墙体进行破损,成功将孩子从夹缝中救出。

10)近日,河南一女子体检时发现自己患上肺癌。医生询问后得知,该女子丈夫长期抽烟,几年前就查出肺鳞癌,女子因长期吸丈夫的二手烟、三手烟也患上肺癌。
11)近日,河南洛阳,有车辆发生事故,在后方设立警示三脚架被路过大妈顺走。据知情者称:视频是朋友拍的,第一反应是很搞笑,也有些生气,大妈的做法既坑自己,又害别人。希望部分老人注意自己的行为。

1)郑州市教育局发布通知:严格执行中招纪律,严禁违规跨区域招生、“掐尖招生”。

2)郑州将于5月30日至31日举行高校毕业生大型线上云视频招聘会,届时,120多家企业将为求职者提供8000多个岗位。

3)为配合郑州市郑少高速北辅道给水新建工程,5月24日10:00-5月26日10:00,郑州公安路以南、东方路以东、椰风路以北、西四环以西区域停水,预计持续48小时。

4)5月22日至31日期间,郑州往返上海的高铁恢复开行,具体车次:郑州东-上海虹桥G1824/1次;上海虹桥-郑州东G368/9、G1810/1次;郑州-上海虹桥G370/67次。

5)19岁的赵冰冰以前是国家二级田径运动员,现在是郑州技师学院形象设计专业指导老师,她的化妆技术堪比整容,可以把17岁的模特变成70多岁老太太。


今天,北部多云间阴天,局部有阵雨、雷阵雨;其它县市晴天间多云。凌晨,南部局部有雾。
25日,全省多云间阴天,部分县市有分散性阵雨、雷阵雨。全省偏北风5级左右,北中部阵风8级左右。
26日,西部多云,局部有阵雨、雷阵雨;其它县市晴天间多云。(河南气象)


1)拜登23日正式启动"印太经济框架":美、韩、日、印、澳、新西兰、印尼、泰国、马来西亚、菲律宾、新加坡、越南、文莱13国为初始成员。覆盖人口25亿,GDP占全球逾四成。外交部:试图孤立中国,最后只会孤立自己。

2)美国婴儿配方奶粉断货率已达43%,低收入家庭受影响严重,纽约22日宣布进入紧急状态。白宫:已启用军机从欧洲向美紧急运送50万罐奶粉。奶粉短缺是因雅培一生产线遭细菌污染查封后出现。

3)联合国日前发布数据称:全球难民及国内避难民众等总数首次超过1亿人;食品供应专家警告:世界将在10周内面临粮食危机。

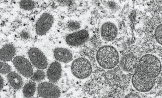
4)阿根廷、奥地利近日首次报告猴痘病例,目前全球已增至15国报告确诊病例;比利时、英国要求猴痘病例进行自我隔离21天;我国华大基因宣布研制出猴痘病毒测试盒。

5)韩国国防部23日透露:韩美将构建沟通渠道,讨论在韩出动美方战略武器事宜;韩媒:尹锡悦夫人被举报履历造假,警方将展开书面调查。

6)当地时间23日,俄罗斯外交部发布消息称:决定自愿撤回申办2030年世博会的候选资格。

7)乌克兰军队被曝近日在北部与白俄罗斯边境建新防线,包括埋设地雷和设置路障。

8)近日,美国SEC再将8家中概股纳入预定除牌名单;滴滴:将推进ADS从纽约证交所退市。去年12月就宣布启动美股退市程序。

9)波兰23日提前终止俄天然气进口,俄媒:违反协议;波兰总理指责挪威在油气市场大发不义之财:今年获利将近1500亿欧元,应与他国分享所获的巨额利润;俄媒:因不履行法院裁决,波兰被欧盟罚款1亿欧元。
10)海外疫情:非欧盟游客入境西班牙将无需疫苗接种证书;英国邮轮出现5名新冠确诊病例后被多国拒入;阿曼取消所有场所和活动的新冠疫情防控措施;泰国延长申请“疫情签证”截止日期至7月25日;菲律宾疫苗事务负责人加维斯确诊感染新冠病毒;日本福岛县知事确诊感染新冠病毒;印度37例“儿童新冠相关肝炎”回顾性研究:仅17%检出腺病毒。


1)北京房贷利率近日下降15个基点,首套房贷利率降至5%,贷款100万25年期月供减少约88元;上海:部分银行首套、二套房贷利率下调15个基点至4.8%、5.5%。

2)哈尔滨23日宣布废止楼市限售政策,全面放开二手房交易;济南:养老及多子女家庭可在限购区域内增购1套商品住房;武汉:全市放松限购,多孩家庭可新购一套房。

3)2022财富美国500强23日发布,沃尔玛连续第十年位列榜首。在这十年里,该公司一共创造了5.1万亿美元的营业收入。

4)随着原材料价格和物流成本上升,韩国新款洗衣机均价近日破万元人民币,韩国LG电子等家电企业抬价保盈利。

5)近日有媒体报道称,快手董事长宿华被带走配合调查,疑因牵涉某案件。宿华本人回复称:不信谣不传谣。
6)截至23日收盘,上证指数报3146.86点,上涨0.01%;深证成指报11447.95点,下跌0.06%;创业板指报2410.12点,下跌0.30%。


1)第六届平遥国际电影展组委会23日对外宣布,即日起面向全球征片,时间持续至8月12日。

2)23日下午,中超联赛官方宣布,新赛季中超联赛将于6月3日拉开大幕。比赛将在大连、海口、梅州三个赛区进行,这是中超历史上首次有18支球队参赛。
来源:新华网、人民网、央视网、央广网、环球网、中国经济网、河南日报、郑州日报、郑州晚报、正观新闻等

,
-
- 儿子手术母亲买三张火车票被无座男子指责霸座?官方:可超座购票
-
2023-08-19 02:30:13
-
- 放假通知!连休 8 天,但是……
-
2023-08-19 02:27:57
-
- 马航找到了是真的吗(马航的语言到底是真是假)
-
2023-08-19 02:25:41
-
- 突破性成果!以色列研究人员开发出微型人体心脏模型
-
2023-08-19 02:23:25
-
- 鲁 DK360B,你做的好事藏不住了!
-
2023-08-19 02:21:09
-
- 太恶劣!男子恶意拨打 110 报警电话 119 次被行拘
-
2023-08-19 02:18:52
-
- 警察酒后辱骂女子并吐口水,警方通报!
-
2023-08-19 02:16:36
-
- 荣耀 X5 Plus 再通过认证 配联发科 Helio G36 不到千元?
-
2023-08-19 02:14:20
-
- 国产手机厂商内卷新高地“ AI 大模型”,最新入局的指标已逼近 GPT-4
-
2023-08-19 02:12:04
-
- “您已偏离路线……”酒驾男闯卡逃离,被导航带回现场
-
2023-08-19 02:09:47
-
- 厦门翔安马巷规划最新消息(保护指导意见出炉)
-
2023-08-18 11:16:30
-
- 朝鲜韩国战争原因(朝鲜与韩国曾是一国)
-
2023-08-18 11:14:14
-
- 青岛即墨慈铭体检中心(慈铭体检青岛即墨分院)
-
2023-08-18 11:11:58
-
- 美国破产失败案例(北美两大品牌申请破产)
-
2023-08-18 11:09:42
-
- 青岛各大集赶集日期(青岛赶集时间大全)
-
2023-08-18 11:07:26
-
- 南开一教授自嘲式简历获好评(南开一教授火了)
-
2023-08-18 11:05:11
-
- 东莞新动能报名条件(2022年东莞圆梦计划哪里报名)
-
2023-08-18 11:02:55
-
- 上海市的十大名菜(去上海必点的9道沪菜)
-
2023-08-18 11:00:39
-
- 南京老房子装修靠谱公司(南京旧房装修哪家最好)
-
2023-08-18 10:58:23
-
- 中式最美四合院(当江南风韵遇见北京传统四合院)
-
2023-08-18 10:56:07



申通快递收费标准价格表2022(申通快递费用查询)
日本第一男吹神,拓也哥(男人在他口中坚持不过3秒)